Unsere vollkeramischen Lösungen stehen für höchste Qualität. Natürlichkeit. Präzision.

Unsere Leidenschaft und Spezialisierung liegt in der Frontzahnästhetik. Durch jahrelange Erfahrung und ständige Weiterbildung bieten wir Ihnen Kronen, Brücken und Veneers, die durch ihre Natürlichkeit und Qualität überzeugen. Unsere vollkeramischen Lösungen sind das Resultat modernster Technik und höchster handwerklicher Präzision – Made in Germany. Wenn Sie nach Frontzahnästhetik in Gütersloh suchen, sind Sie bei uns genau richtig.

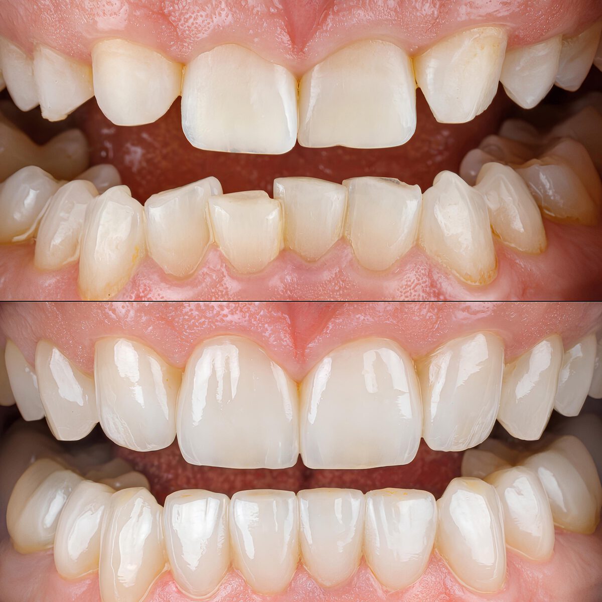
Warum Vollkeramik?

Vollkeramische Kronen und Veneers bieten nicht nur ästhetische Vorteile, sondern auch eine herausragende Biokompatibilität. Sie sind nicht nur allergiefrei, sondern auch extrem langlebig und widerstandsfähig. Unsere Expertise in der Vollkeramik in Gütersloh garantiert Ihnen ein strahlendes und natürliches Lächeln.

Natürlichkeit

Vollkeramik imitiert die Lichtdurchlässigkeit und Farbe Ihrer natürlichen Zähne perfekt. Die Vollkeramikkronen in Gütersloh bieten eine ästhetische Lösung, die nahezu unsichtbar ist.

Biokompatibilität

Kein Metall, keine Allergien – ideal für empfindliche Patienten.

Langlebigkeit

Hochbeständig gegen Abnutzung und Verfärbungen. Unsere vollkeramischen Zahnrestaurationen in Gütersloh sind für ihre Haltbarkeit bekannt.

Komfort

Hervorragende Passform und angenehmes Tragegefühl.

Ihre Vorteile bei uns

Häufig gestellte Fragen (FAQ)

Welche Materialien werden verwendet?

Wir verwenden hochmoderne vollkeramische Materialien, die höchste Ästhetik und Funktionalität bieten. Diese sind biokompatibel und verursachen keine Allergien. Unsere vollkeramischen Kronen aus unserem Labor in Gütersloh setzen Maßstäbe.

Welche Typen von Vollkeramik gibt es?

Es gibt verschiedene Typen, darunter Zirkonoxid und Lithium-Disilikat, die jeweils spezifische Vorteile bieten, sowie desweiteren Glas- bzw. Feldspatkeramiken für ästhetische Verblendungen. Informieren Sie sich bei uns über die besten Optionen für vollkeramische Zahnrestaurationen.

Wie lange halten Vollkeramikkronen?

Bei guter Pflege können Vollkeramikkronen viele Jahre halten und sind besonders widerstandsfähig gegen Verfärbungen und Abnutzung. Vertrauen Sie auf unsere Expertise für langlebige Vollkeramikkronen.

Sie haben noch weitere Fragen?

Koring Dental Design
Datenschutz-Übersicht

Diese Website verwendet Cookies, damit wir dir die bestmögliche Benutzererfahrung bieten können. Cookie-Informationen werden in deinem Browser gespeichert und führen Funktionen aus, wie das Wiedererkennen von dir, wenn du auf unsere Website zurückkehrst, und hilft unserem Team zu verstehen, welche Abschnitte der Website für dich am interessantesten und nützlichsten sind.